
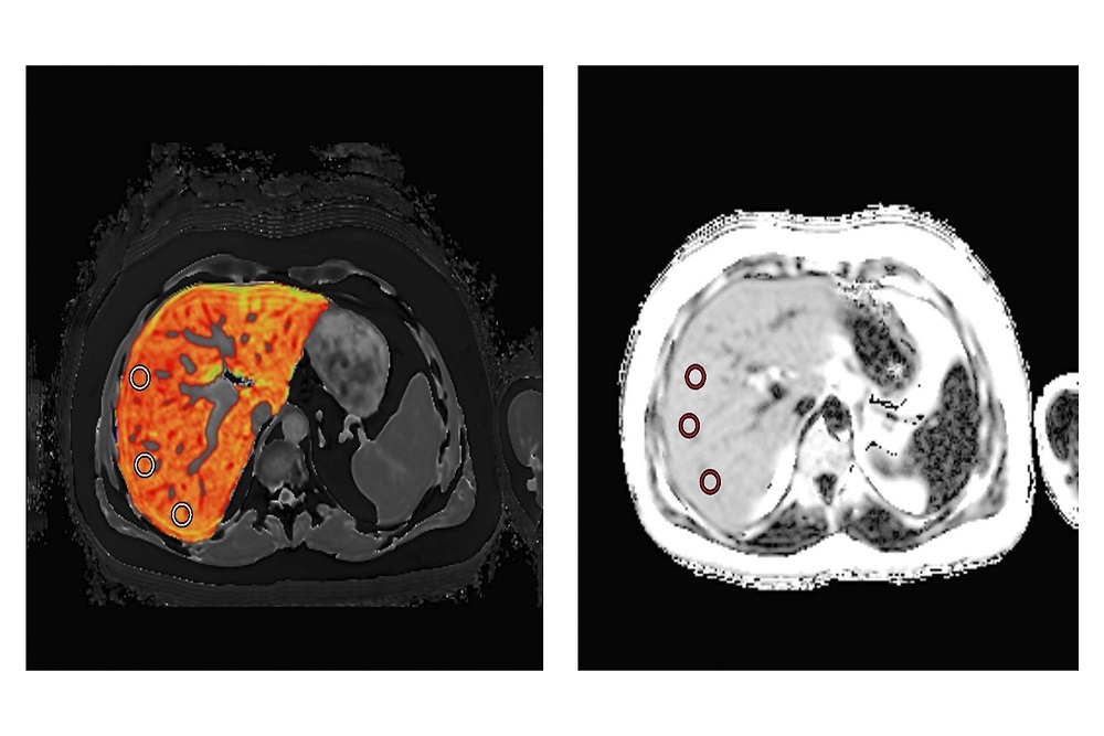
LiverMultiScan images of a liver with high cT1 values and high PDFF
Perspectum Diagnostics issued the following announcement on Sep. 17.
The Food and Drug Administration (FDA) has awarded Perspectum Inc $250,000 to qualify its proprietary biomarkers for NASH in collaboration with Dr. Naim Alkhouri at the Texas Liver Institute.
These funds have been awarded under the Drug Development Tool Research Grant (U01). The study will qualify the imaging markers cT1 and PDFF as drug development tools in non-alcoholic steatohepatitis (NASH); initially as diagnostic screening biomarkers to identify patients for inclusion in NASH clinical trials, then as pharmacodynamic efficacy biomarkers to detect clinically meaningful change, with the ultimate objective being approval as non-invasive surrogate endpoints. LiverMultiScan will help identify patients for NASH clinical trials.
In discriminating healthy volunteers and patients with no fibrosis on liver biopsy from those with any degree of fibrosis (Ishak ⩾ F1), cT1 had a sensitivity of 86% and a specificity of 93% at a threshold of 800ms. (Journal of Hepatology, 2014, 60(1), 69 – 77).
The study will begin recruitment early next year and participants will be scanned at Touchstone Imaging Medical Center’s MRI facility in San Antonio.
"Non-alcoholic fatty liver disease is the most common form of chronic liver disease globally. Patients with the aggressive form of fatty liver called fibrotic non-alcoholic steatohepatitis (fibrotic NASH) have the highest risk of progression to cirrhosis and end-stage liver disease. Identifying these patients and assessing their response to different therapeutic agents represents the highest unmet need. LiverMultiScan is an attractive non-invasive method to address this unmet need. The grant will allow the Texas Liver Institute (TLI), a tertiary referral center for patients with liver disease, to collaborate with Perspectum to validate the use of LiverMultiScan in identifying patients with fibrotic NASH that will benefit from therapeutic interventions". - Dr. Naim Alkhouri, the Texas Liver Institute
"As a patient who has experienced liver biopsy and as an advocate representing the interests of liver patients, I cannot overstate the importance of developments in non-invasive testing for NASH and other liver diseases. The Global Liver Institute encourages initiatives to support research in this vital area and looks forward to the results of Perspectum's biomarker study." - Donna Cryer, President and CEO of the Global Liver Institute
“Cases in this study will be patients who would typically qualify for randomization in a clinical trial comparing treatments for NASH with fibrosis. Controls will be patients who were thought to possibly have NASH with fibrosis, but whose biopsies showed less severe or no disease. We hope to show that our imaging biomarkers can effectively discriminate cases from controls.” - David DeBrota, MD, VP of Medical R&D, Perspectum
Original source can be found here.